Projects and Skills

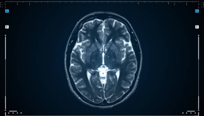
Alzheimer’s Pre-Diagnosis

an MRI-based diagnostic application designed to detect the early signs of Alzheimer’s long before visible symptoms emerge. Together with various neurologists with experience diagnosing and understanding Alzheimers, the app uses advanced pattern recognition to help physicians make diagnosis more accurate and faster for patients. This project seeks to revolutionize the way Alzheimers is identified and treated by allowing for the earlier intervention, bringing hope for better patient outcomes.

Crop Sense

CropSense is a low cost smart device designed for farmers to examine nutrient levels in soil and improve decision making for crop growth. CropSense allows farmers to access information in real time about soil health, moisture and environmental data to help them produce maximum crop yield, lower costs and farm sustainably . The aim is to democratize advanced agricultural technology to every farmer, and narrowing the space between advanced technology and everyday farming needs.

Courses

Advanced Digital Marketing

Google Digital Garage and The Open University

Python, CSS and Javascript

Udemy and Coursera

Grow your business

Meta Business Academy andthe Blue Ocean Competition

Advanced Artificial Intelligence and Automation

Applied Digital Skills - Grow with Google

Let's Work Together

Whether it’s about tech, startups, or collaboration, feel free to reach out at vyom.student@gmail.com

© 2025 – Vyom Patel – vyompatel.in

Scroll to Top